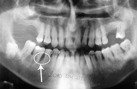
Féléves kontroll felvétel a regeneratív műtét után. A csontkráter kitelődött csonttal, azaz a defektus meggyógyult
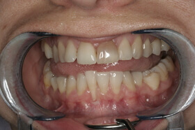
Agresszív fogágybetegség miatt kialakult frontfog elmozdulás – elülső nézet
Agresszív fogágybetegség miatt kialakult frontfog elmozdulás – oldalnézet
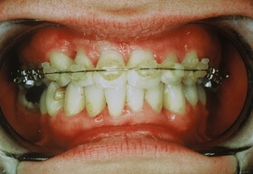
A fogágybetegség kezelése után a beteg fogszabályozó készüléket kap az esztétikai eltérés korrekciójára
A kezelés végén a fogszabályozó készülék eltávolítása előtt
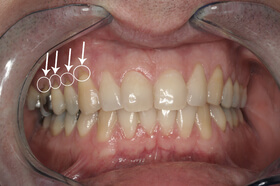
A végeredmény, a frontfogak a belső oldalon összesínezve
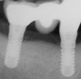
Fogpótlások
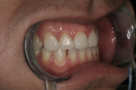
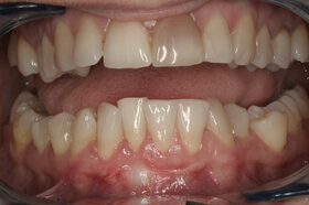
Több, mint tízéves koronák és az íny visszahúzódása a frontfogak ajak felőli oldalán
Felső négy frontfog korona cseréje és az íny visszahúzódásának korrekciója a szájpadból vett kötőszöveti lebennyel
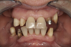
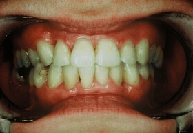
Felső és alsó sorvégi foghiányok
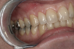
A foghiányok ellátása fém-kerámia koronákkal és az ezekhez kapcsolódó részleges kivehető fogpótlásokkal
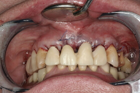
A négy felső frontfog helyén hídpótlás a hiányzó jobb felső nagymetsző miatt. A foghiány miatt az íny negatív kontúrja figyelhető meg
A negatív ínykontúr korrekciója a szájpadból vett kötőszöveti lebennyel és az ideiglenes fogpótlással
Az új híd hat héttel az ínyműtét után készült el
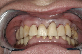
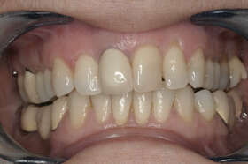
Több, mint tízéves hidak, elkopott fogak. Kezelési terv: a régi hidak cseréje és a többi fog ellátása fém-kerámia koronákkal
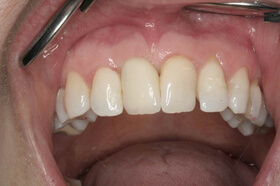
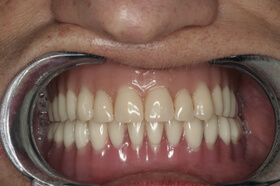
Az elkészült fém-kerámia koronák, hidak
Ez a weboldal sütiket (cookie-kat) használ a jobb felhasználói élmény érdekében.RendbenRészletek
Adatvédelem
Privacy Overview
This website uses cookies to improve your experience while you navigate through the website. Out of these cookies, the cookies that are categorized as necessary are stored on your browser as they are essential for the working of basic functionalities of the website. We also use third-party cookies that help us analyze and understand how you use this website. These cookies will be stored in your browser only with your consent. You also have the option to opt-out of these cookies. But opting out of some of these cookies may have an effect on your browsing experience.
Necessary cookies are absolutely essential for the website to function properly. This category only includes cookies that ensures basic functionalities and security features of the website. These cookies do not store any personal information.
Any cookies that may not be particularly necessary for the website to function and is used specifically to collect user personal data via analytics, ads, other embedded contents are termed as non-necessary cookies. It is mandatory to procure user consent prior to running these cookies on your website.